Dental Produkte
EDV Produkte
Gebraucht-Geräte

Yoshida XeraSmart Yoshida X-ERA SMART Yoshida X-ERA SMART Yoshida X-ERA SMART Yoshida X-ERA SMART Yoshida X-ERA SMART Yoshida X-ERA SMART

Video abspielen

3D Röntgengeräte► NewTom GiANO | NewTom VGi evo | Yoshida X-ERA SMART | CS 8100 3D |
Kodak CS 9300
| Kodak 9500 3D | Kodak 9000 3D | Acteon X-Mind trium PAN 3D | RayScan Alpha 3D

Yoshida X-ERA SMART – Die neue Generation

Die moderne Röntgeneinheit für hochwertige zahnärztliche Diagnostik.

Anspruchsvollste Bilderfassung für die professionelle Praxis

Alles umfassend - 2D und 3D in einem

Das Röntgengerät X-ERA SMART vereint Technologie und Innovation auf eindrucksvolle Weise. Es erlaubt sowohl 2D als auch 3D Bildbearbeitung. Maximaler Bedienungskomfort und Effektivität wird durch einen großen Touchscreen, eine übersichtliche und bedienerfreundliche Struktur für ein schnelles und fehlerfreies Arbeiten erreicht.

Höchste Bildqualität

X-ERA SMART verfügt über ein einzigartiges Patientenpositionierungssystem im 3D Bereich, das jede Bildverzerrung durch Patientenbewegung komplett ausschließt. Das Technologiekonzept erzeugt eine Bildqualität in extrem hoher Auflösung. Zwei verschiedene Aufnahmegrößen mit einer Voxel Größe von 80μm / 100 μm liefern in jeder Sichtfeldgröße (FoV) exzellente Ergebnisse für die weitere Diagnostik und Behandlung.

Flexibel und funktionell

Das X-ERA SMART-System können Sie individuell für viele Anwendungen einsetzen. Beispielsweise für generelle Zahnheilkunde, Parodontologie, Implantologie und Implantatplanung, Endodontie, Kieferorthopädie und Dentalhygiene.
X-ERA SMART bietet mit seiner Vielfalt neue Perspektiven für eine genaue und sichere Diagnose. Anspruchsvollste Bilderfassung für die professionelle Praxis

X-ERA SMART 3D. Das System für drei Technologien

X-ERA SMART wurde als das ideale Gerät für 3D und Panorama Imaging entwickelt. Mit schmalem und kompaktem Design und exzellenter Funktionalität verfügt es über alle Innovationen, die Zahnmediziner von einem modernen Röntgengerät erwarten. Anschaffung und Rentabilität erlauben es jeder Praxis, mit einem solch hochwertigen diagnostischen System zu arbeiten. Das 3D-Panorama System kann jederzeit mit einer Fernröntgenausstattung zusätzlich ausgestattet werden.
Sie können X-ERA SMART auch als reines Panoramagerät wählen und dann je nach Bedarf entsprechend aufrüsten.

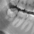
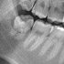
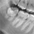
Nacholgend ein paar phänomenale Bilder & Werte,
die nicht nur einem Fachmann die Sprache verschlagen:

Aufnahmeparameter: Ceph LA; 82 kV; 10 mA; 8.0 s; 0.8 mm CU + 6.0 mm AL
gemessene Dosis: 2.99 µGy

Weitere Informationen entnehmen Sie bitte unserem Prospekt, den Sie hier Downloaden können:

Download Informationsprospekt (PDF)

◄ zurück zur Übersicht

3D Röntgengeräte► NewTom GiANO | NewTom VGi evo | Yoshida X-ERA SMART | CS 8100 3D |
Kodak CS 9300 | Kodak 9500 3D | Kodak 9000 3D | Acteon X-Mind trium PAN 3D | RayScan Alpha 3D