Dental Produkte
EDV Produkte
Gebraucht-Geräte

Focus 3D Suite

Focus 3D ist Ihr neues dentales Assistenzsystem und unterstützt Sie in Ihren täglichen Arbeiten. Ab sofort  benötigen Sie für den Alltag nur noch zwei Programme: Ihre Patientenverwaltung und Focus 3D.

Höchste Qualität

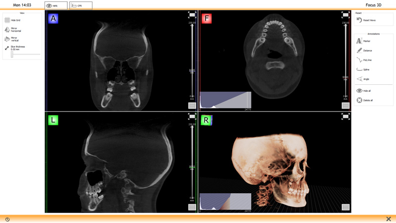
Hochwertig - Focus 3D zeigt neue  und alte Datensätze in ungeahnter Qualität

Intuitiv Bei Focus 3D steht Usability im Mittelpunkt

Aufgabenorientiert - Focus 3D vereinfacht Aufgaben und spart so wertvolle Zeit im Praxisalltag

Einfach Benutzen

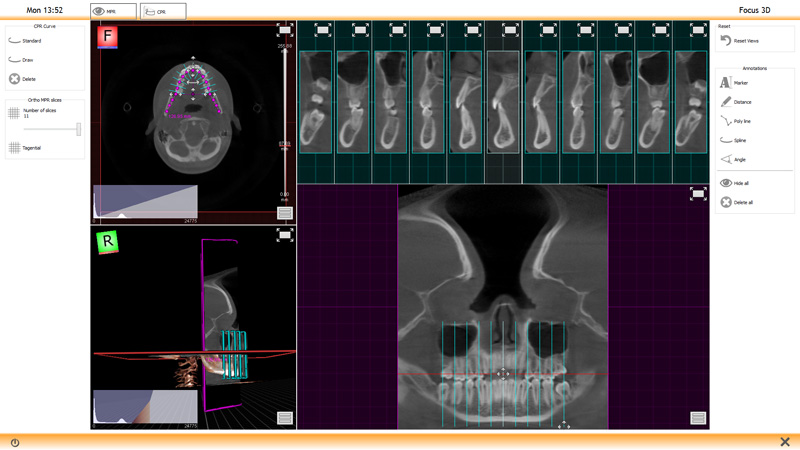
  • 2D und 3D Bildverwaltung in einer Software
  • Modernste 3D Darstellung
  • Einfache  Integration von 3D Röntgengeräten
  • Dynamische  Superpanoramas
  • 4-Click Nervkanalsegmentierung
  • Schnelle  Installation und einfache Wartung
  • Intuitive Touchbedienung

Zukunftsfähig

Focus 3D wird stetig erweitert. Schon bald können Sie

  • Intraoralkameras steuern und Bilder aufnehmen
  • Scanner  und andere Geräte einbinden
  • Implantate und Bohrschablonen planen
  • Daten mit einer 3D-Brille in der  virtuellen Realität betrachten

Focus 3D Reko+

Beste Bilder auch mit älteren Geräten. Mit der universellen Rekonstruktion von Focus 3D rüsten Sie schon  heute Ihr Altgerät mit modernster Technologie auf. Und in wenigen Jahren stellen Sie einfach und herstellerunabhängig auf ein neues Gerät um.

Herstellerunabhängige 3D Rekonstruktion

Als erste Lösung weltweit rekonstruiert Focus
3D Daten verschiedener Hersteller von DVT- Geräten

  • Planmeca
  • Newtom
  • Sirona
  • Yoshida

(Modelle und weitere Hersteller auf Anfrage. Sollte Ihr Hersteller nicht  gelistet sein, setzen Sie sich bitte mit uns in Kontakt. Viele Geräte können mit wenig Aufwand in Focus 3D integriert werden und wir bewerten gerne kostenfrei Ihr vorhandenes Gerät.)

Höchste Auflösung und schärfere Bilder

Focus 3D rekonstruiert Ihre Daten in der größtmöglichen Auflösung. Durch die Verwendung modernster Algorithmen entstehen gestochen scharfe Bilder.

Weniger Rauschen, Mehr Dynamik

Ältere aber hochwertige DVT Geräte sind oftmals durch  Ihre Rechenleistung beschränkt. Focus 3D hebt diese  Limitierung auf und rekonstruiert rauscharme dynamische Bilder.

Zertifizierte Partner

Unsere  zertifizierten Fachhandelspartner stellen sicher, dass sie das Beste aus Ihrem
vorhandenen DVT machen.

Bilder ohne Warten

Focus 3D Reko+ zeigt ein Volumen ab dem  ersten Röntgenbild. Die iterativen Cone Beam Rekonstruction (CBCT) optimiert die Bilder in kürzester Zeit. Sie können  somit nahtlos und ohne  Wartezeit direkt arbeiten. Sie können  die Daten aber  auch  in wenigen Sekunden über das Praxisnetzwerk laden.

Focus 3D Reko+ X-era Smart

Die moderne Röntgeneinheit für hochwertige zahnärztliche Diagnostik

Höchste Qualität

Höchste Bildauflösung  für die perfekte Diagnose Bilder mit bis zu 80µm pro Voxel zeigen  bestens Wurzelkanäle und deren Verlauf. Auf höchstem Niveau werden Auflösung und Schärfe  nicht nur in der  Endodontie genutzt, sondern in allen Arten der  dentalen Diagnostik.

Das optimale Sichtfeld für alle Anwendungen Der patentierte gleitende Sensor erweitert und vergrößert das Sichtfeld, wodurch eine  geringe Strahlenbelastung bei den  zwei Scanning Modes (kleines und großes  Sichtfeld) erreicht wird.

2D und 3D Röntgen

Das X-ERA SMART ist eines  der  kleinsten Röntgengeräte weltweit und erlaubt sowohl 2D als auch  3D Aufnahmen in bestechender Qualität. Zwei verschiedene Aufnahmegrößen mit einer Voxelgröße von 80µm und 100µm liefern in jeder Sichtfeldgröße (FoV) exzellente Ergebnisse für die weitere Diagnostik und Behandlung.

Schnellste Rekonstruktion

Unsere  leistungsstarke Reko-Box zeigt Bilder ab dem  ersten Röntgenbild. Sie integriert alle Funktionen des XERA SMART in einem leistungsfähigen System. Sie kommt vorkonfiguriert und liefert so die beste, schnellste und komfortabelste Lösung für Ihr DVT Gerät. Mit wenig Aufwand integriert sie sich in Ihre vorhandene Praxis-Architektur

Focus X-Ray Accept

Schnelle und einfache Konstanzprüfungen nach DIN 6868-161

Konstanz- und Abnahmeprüfung

Focus 3D Konstanz unterstützt sowohl für die Abnahmeprüfung, als auch  die Konstanzprüfung nach  DIN 6868-161. Alle von der  Norm vorgeschriebenen Messungen und Prüfungen können  vorgenommen werden:

  • Positionierung
  • Dosismessung
  • Ortsauflösung der  Rekonstruktion
  • Kontrast
  • Homogenität
  • Artefakte

Übersichtliche Auswertung

Die Messungen und Auswertungen werden am Ende der  Konstanzprüfung komfortabel als PDF aufbereitet und können  so sicher  digital aufbewahrt werden.

Visuelle Unterstützung

Alle notwendigen Messungen werden Schritt für Schritt abgearbeitet. Falls notwendig werden Messungen durch  Referenzbilder unterstützt.

Focus Convert

Einfache Datenkonvertierung von Bildern und Stammdaten

Herstellerunabhängige Röntgenkonvertierung

Als Anwender möchten Sie das Programm verwenden, welches Ihnen den besten Funktionsumfang liefert. Und wenn Sie sich für eine neue Lösung entscheiden, müssen die Daten schnell und unkompliziert übernommen werden.

Programm (Bilder)

Export

Praxisarchiv nach  Probekonvertierung
Digora ja
Gendex  VixWin ja
Byzz ja
DampSoft DS View ja
Solutio Charly (in Ablage) ja
Solutio Charly (in Fotostation) ja
Dürr ja
Sirona Sidexis ja
Planmeca Dimaxis / Romaxis ja
New-Tech  FlexiRay ja
Trophy ja
Dexis ja
CliniView ja
Kodak ja

 

Fragen Sie uns auch nach unserem umfangreichen Datenkonvertierung inklusive Stammdaten und Leistungsdaten. Zu den unterstützen Herstellern gehören: ChreMaSoft, Compudent, Computer konkret, Dampsoft, DensOffice, ErgoDent, Evident, Highdent, LinuDent, Jungmann, Solutio, Zahnarztrechner, Z1 und noch mehr.

DVT Check 24

Wir bewerten herstellerunabhängig Ihre DVT-Aufnahmen. Denn die digitale Volumentomographie ist eine  Kette von komplexen Schritten, die bestmöglich aufeinander abgestimmt werden müssen.

Herstellerunabhängige Bewertung

Auf Basis unserer jahrelangen Erfahrung  mit Installation und Wartung von DVT-Geräten verschiedener Hersteller haben wir ein Verfahren entwickelt, um die Qualität von 3D Aufnahmen bewerten zu können. Dazu betrachten wir eine  Reihe von Parametern:

  • Qualität der  3D-Darstellung
  • Schärfe  und Rauschen
  • Dynamik von Weichgewebe, Zähnen, Knochen und Implantaten
  • Geometrische Verzerrungen durch Detektorkalibrierung

Die Bewertung geschieht unabhängig vom
Hersteller Ihres DVT-Gerätes*

Einfacher Zugriff im Kundenportal

Erstellen Sie Ihr Profil auf dvtcheck24.de. In Ihrem persönlichen Kundenportal laden  Sie anonymisierte Patientendaten oder Prüfkörperdaten im Dicom-Format hoch. Innerhalb von wenigen Tagen erhalten Sie Ihre individuelle Bewertung der  Röntgendaten.

Produktdatenblatt (PDF) herunterladen

White Lion

Powered by White Lion Technologies AG
www.wlt.ag

◄ zurück zur Übersicht   |   ▲ zum Anfang der Seite