Dental Produkte
EDV Produkte
Gebraucht-Geräte
NewTom

Video abspielen

Video abspielen

Röntgengeräte► NewTom GiANO | Kodak CS 8100 | Kodak CS 8000 | Kodak CS 8000 C | Acteon X-Mind trium PAN 3D

Das ideale Hybrid-System für die dentale Bildgebung

NewTom GiANO ist das ideale Gerät für alle dental Spezialisten, die den Wert ihrer Arbeit erhöhen wollen. Durch die Kombination aus NewTom Spitzentechnologie und attraktivem Preis gilt GiANO als das fortschrittlichste Hybrid-System auf dem Markt. Durch die Vielzahl an unterschiedlichen Untersuchungsmethoden wird das Gerät allen Anforderungen gerecht: 3D, 2D, Kephalometrie und Karpalgelenksuntersuchungen.Die 2D-Konfiguration von NewTom GiANO lässt sich jederzeit problemlos auf 3D oder Ceph erweitern. 

Dank des modularen Sensors, der auch einfach am Ceph-Kopf genutzt werden kann, der kurzen Untersuchungszeit und der geringen Strahlendosis, bietet GiANO eine vollständigere und direktere Diagnose. Anders als andere Systeme aktiviert NewTom GiANO die Strahlenquelle nur wenn nötig durch ein gepulstes Verfahren.

Vorteile des NewTom GiANO

  • Jahrzehntelange Erfahrung garantiert ein Gerät, das allen klinischen Anforderungen gerecht wird.
  • Die großzügigen FOVs ermöglichen mit nur einem Umlauf eine umfassende Diagnostik, Planung oder Kontrolle des gesamten Unter- und Oberkiefers.
  • Die fortschrittliche Technologie ermöglicht Panoramabilder mit präzisem Brennpunkt für den gesamten Kieferbereich.
  • Leichte und unkomlizierte Erweiterung auf 3D-Röntgen und Ceph.

Technische Spezifikation

  • 12 Panorama Aufnahmeprogramme
  • 14 TMJ programme
  • 3 Sinus Programme
  • 10 Ceph Programme
  • 1 Dynamisch orthogonales Tomogramm (DOT)

 

Klinische Fälle

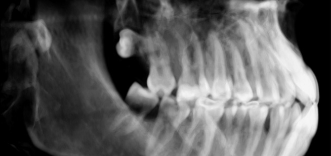
Endo-Perio

Der Facharzt für Endodontie und Periodontologie benötigt Bilder von absoluter Spitzenqualität und Detailschärfe, um Verfahren wie die Behandlung von Zahnbrüchen, die Heilung von Zahngewebe und die Therapie des Kieferkanals vorzunehmen, da er über genaue Details der behandelten Zone und des Krankheitsbilds verfügen muss, um eine wirkungsvolle Behandlung planen zu können. Nur eine eingehende Untersuchung der betroffenen Areale kann Aufschluss über einen mehr oder weniger invasiven Eingriff geben.

Download Informationsbroschüre NewTom GiANO (PDF)

◄ zurück zur Übersicht

Röntgengeräte► NewTom GiANO | Kodak CS 8100 | Kodak CS 8000 | Kodak CS 8000 C | Acteon X-Mind trium PAN 3D